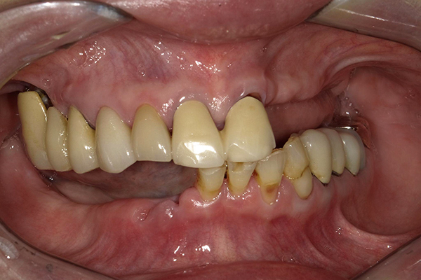
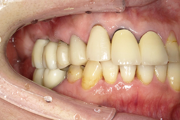
| 治療内容 | 左側上顎小臼歯、大臼歯2歯の欠損のため、上顎の骨にインプラントを埋め込み、その 上に人工の歯を被せるインプラント治療を行い、 機能面の回復を行いました。 |
|---|---|
| 治療期間・回数 | 約6ヶ月間、10回 |
| 費用(自由診療) | 総額 891,000円(税込)(検査・診断、手術関連処置費用等を含む) インプラント埋込・上部構造:715,000円(税込)/2本 |
| リスク・副作用 | 出血、腫張、疼痛、青痣、神経麻痺、補綴物の脱落、破折、インプラント体の破折、咬合違 和感、インプラント周囲炎等 |
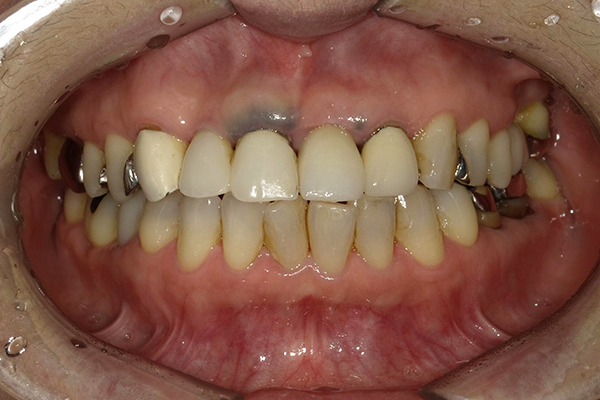
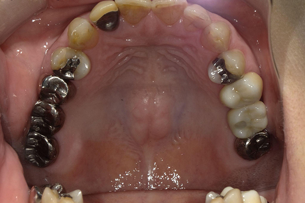
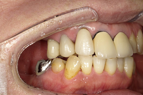
| 治療内容 | 右側上顎大臼歯2歯、下顎大臼歯2歯のインプラント治療。虫歯から歯根破折を起こした右側臼歯に 代わって、顎の骨にインプラントを埋め込み、その 上に人工の歯を被せるインプラント治療を行い、 機能面の回復を行いました。 |
|---|---|
| 治療期間・回数 | 約6ヶ月間、10回 |
| 費用(自由診療) | 総額 2,002,000円(税込)(検査・診断、手術関連処置費用等を含む) インプラント埋込・上部構造:1,650,000円(税込)/4本 |
| リスク・副作用 | 出血、腫張、疼痛、青痣、神経麻痺、補綴物の脱落、破折、インプラント体の破折、咬合違 和感、インプラント周囲炎等 |
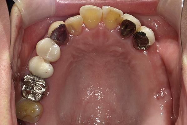
| 治療内容 | 左上顎臼歯部インプラントブリッジ治療(3歯) |
|---|---|
| 治療期間・回数 | 約6ヶ月間、10回 |
| 費用(自由診療) | 総額 989,000円(税込)(検査・診断、手術関連処置費用等を含む) インプラント埋込・上部構造:715,000円(税込)/2本 |
| リスク・副作用 | 出血、腫張、疼痛、青痣、神経麻痺、補綴物の脱落、破折、インプラント体の破折、咬合違 和感、インプラント周囲炎等 |
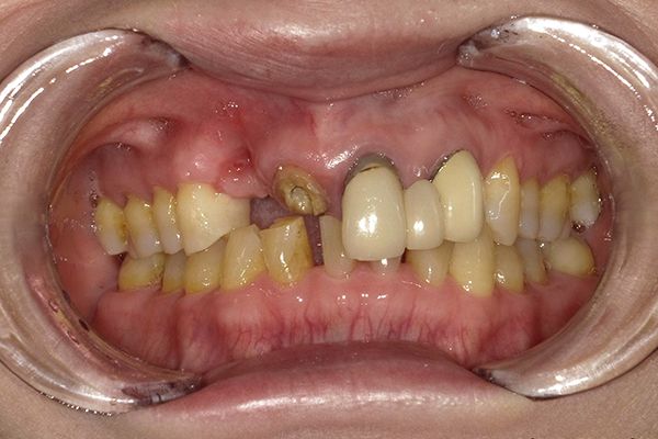
| 治療内容 | 左上顎前歯部インプラント治療。歯根破折を起こした左側前歯に 代わって、顎の骨にインプラントを埋め込み、その 上に人工の歯を被せるインプラント治療を行い、 機能面の回復を行いました。 |
|---|---|
| 治療期間・回数 | 約6ヶ月間、10回 |
| 費用(自由診療) | 総額 440,000円(税込)(検査・診断、手術関連処置費用等を含む) インプラント埋込・上部構造 |
| リスク・副作用 | 出血、腫張、疼痛、青痣、神経麻痺、補綴物の脱落、破折、インプラント体の破折、咬合違 和感、インプラント周囲炎等 |
| 治療内容 | 左上前歯部インプラント治療(2歯) |
|---|---|
| 治療期間・回数 | 8回 |
| 費用(自由診療) | 総額 550,000円(税込) |
| リスク・副作用 | 保険外治療になります。術後も定期的な検診が必要です。 |
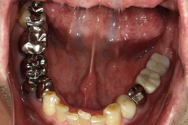
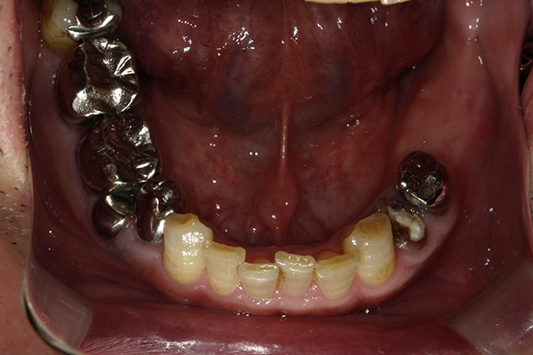
| 治療内容 | 左下大臼歯(2歯)、右下大臼歯(1歯)インプラント治療 |
|---|---|
| 治療期間・回数 | 約6ヶ月間、10回 |
| 費用(自由診療) | 総額 1,420,000円(税込)(検査・診断、手術関連処置費用等を含む) インプラント埋込・上部構造 |
| リスク・副作用 | 出血、腫張、疼痛、青痣、神経麻痺、補綴物の脱落、破折、インプラント体の破折、咬合違 和感、インプラント周囲炎等 |
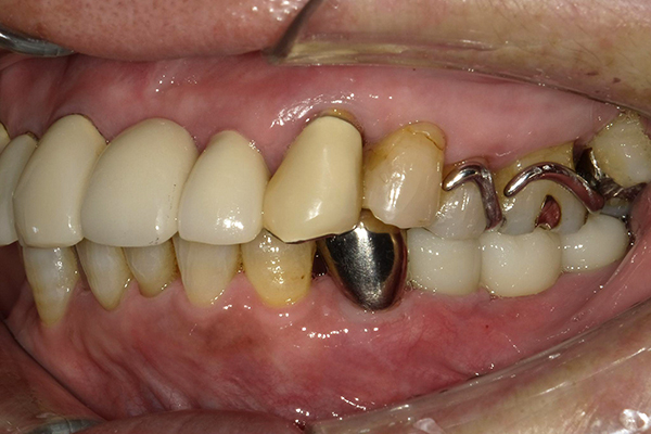
| 治療内容 | 左下大臼歯インプラント治療(2歯) |
|---|---|
| 治療期間・回数 | 約6ヶ月間、10回 |
| 費用(自由診療) | 総額 891,000円(税込)(検査・診断、手術関連処置費用等を含む) インプラント埋込・上部構造:350,000円(税込)/1本 |
| リスク・副作用 | 出血、腫張、疼痛、青痣、神経麻痺、補綴物の脱落、破折、インプラント体の破折、咬合違 和感、インプラント周囲炎等 |
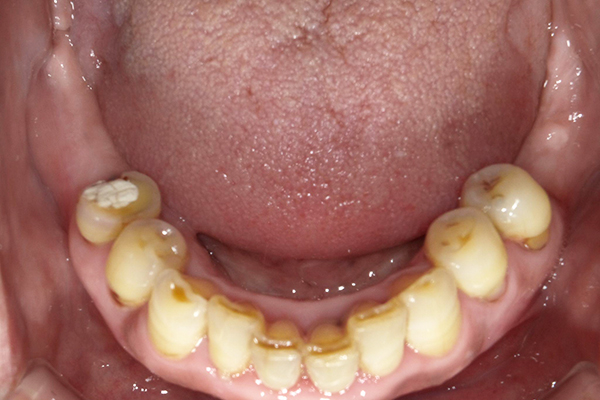
| 治療内容 | 下顎前歯部インプラント治療(1歯)、隣在歯ジルコニアクラウン(2歯) |
|---|---|
| 治療期間・回数 | 約5ヶ月間、8回 |
| 費用(自由診療) | 総額 660,000円(税込) |
| リスク・副作用 | 出血、腫張、疼痛、青痣、神経麻痺、補綴物の脱落、破折、インプラント体の破折、咬合違 和感、インプラント周囲炎等 |
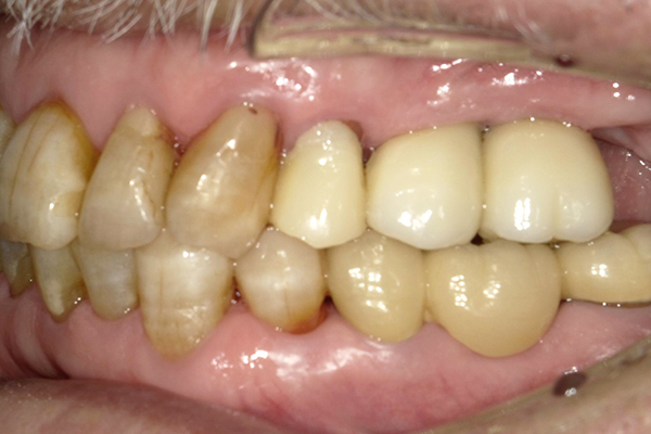
| 治療内容 | 左上臼歯部インプラント治療 |
|---|---|
| 治療期間・回数 | 約4ヶ月間、8回 |
| 費用(自由診療) | 総額 418,000円(税込)(検査・診断、手術関連処置費用等を含む) インプラント埋込・上部構造:350,000円(税込)/1本 |
| リスク・副作用 | 出血、腫張、疼痛、青痣、神経麻痺、補綴物の脱落、破折、インプラント体の破折、咬合違 和感、インプラント周囲炎等 |
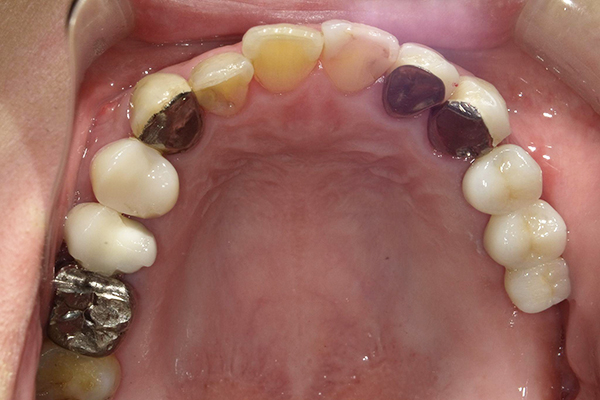
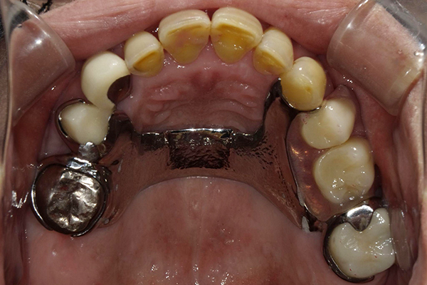
| 治療内容 | 上顎コバルトクロム金属床義歯 |
|---|---|
| 治療期間・回数 | 約2ヶ月間、6回 |
| 費用(自由診療) | 総額 330,000円(税込)(検査・診断、手術関連処置費用等を含む) |
| リスク・副作用 | 保険適応外治療になります。義歯装着後は数回の調整が必要になります。 |
| 治療内容 | ノンクラスプ義歯治療(目立たない義歯) |
|---|---|
| 治療期間・回数 | 約2ヶ月間、5回 |
| 費用(自由診療) | 総額 165,000円(税込) |
| リスク・副作用 | 保険治療外義歯になります。完成後も何回か調整に来る必要があります。 |
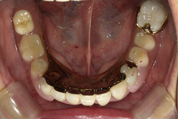
| 治療内容 | 上下ノンクラスプタイプ・コバルトクロム金属床義歯 |
|---|---|
| 治療期間・回数 | 約2ヶ月間、8回 |
| 費用(自由診療) | 総額 770,000円(税込) |
| リスク・副作用 | 治療後も定期的なメンテナンスが必要になります |
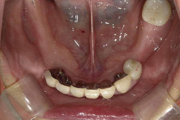
| 治療内容 | 下顎ノンクラスプタイプ・コバルトクロム金属床義歯 |
|---|---|
| 治療期間・回数 | 約2ヶ月間、8回 |
| 費用(自由診療) | 総額 770,000円(税込) |
| リスク・副作用 | 定期的なメンテナンスが必要になります |